• info@anntcm.org
Download PDF
Volume 2, Issue 1
Article Type: Short Report

Squamous cell carcinoma in Netherton syndrome: Metzastatic progression in the inguinal region

Adham Obeidata1,2*; Landon K1,2; Benaventea M1,2; Jared Acobab3,4

1University of Hawaii Internal Medicine, Honolulu, HI, USA.
2The Queen’s Medical Center, Honolulu, HI, USA.
3Rush University Cancer Center, Chicago, IL, USA.
4Rush Medical College, Rush University, Chicago, IL, USA.

*Corresponding author:  Adham Obeidata
University of Hawaii Internal Medicine, Honolulu & The Queen’s Medical Center, Honolulu, HI, USA.
Email ID: adhamobeidata@gmail.com

Received: Feb 28, 2025
Accepted: Mar 14, 2025
Published Online: Mar 21, 2025
Journal: Annals of Traditional Chinese Medicine
Copyright: Obeidata A et al. © All rights are reserved

Citation: Obeidata A, Landon K, Benaventea M, Acobab J. Squamous cell carcinoma in Netherton syndrome: Metzastatic progression in the inguinal region. Ann Tradit Chin Med. 2025; 2(1): 1009.

Abstract

Introduction: Netherton Syndrome (NS) is a rare condition that affects multiple organ systems, primarily manifesting through both skin-related and systemic symptoms. Individuals with NS often exhibit congenital ichthyosis, a condition characterized by hyperkeratosis and abnormal scaling of the skin across the body. Although NS is primarily a dermatological disorder, rare cases have shown an association with squamous cell carcinoma.

Case report: A 51-year-old man with a known history of Netherton syndrome (NS) and recurrent squamous cell carcinoma presented with a growing left inguinal mass. A biopsy confirmed the presence of a new invasive SCC, which had spread to regional lymph nodes and invaded the left femoral vein. He underwent an extensive surgical procedure, including wide local resection, lymph node dissection, and removal of the affected femoral vein. However, his post-operative course was complicated by recurrent infections and progression of his malignancy. Given the severity of his condition, he was transitioned to hospice care before additional treatment could be pursued.

Conclusion: This case sheds light on a patient with Netherton Syndrome (NS) who experienced recurrent inguinal squamous cell carcinoma. The complexity of factors influencing SCC development in individuals with NS and other ichthyoses remains poorly understood. Further research is crucial to uncover potential mechanisms, risk factors, and preventive strategies.

Keywords: Carcinoma; Liver metastasis; Hepatopulmonary syndrome; Tissue lymphoma.

Introduction

Netherton Syndrome (NS) is a rare genetic disorder with widespread effects, including congenital ichthyosis, immune dysfunction, and hair shaft abnormalities. It is caused by mutations in the SPINK5 gene on chromosome 5q32, leading to impaired LEKTI function.

While congenital ichthyoses like NS primarily affects the skin, recent studies have suggested an increased risk of non-melanoma skin cancers in these patients. One review of 28 cases of inherited ichthyoses with malignancies identified three patients with NS. This case adds to the existing evidence linking NS to skin cancer. Importantly, it is the first reported instance of recurrent inguinal squamous cell carcinoma with nodal metastasis in an NS patient, emphasizing the need for further research and surveillance in these individuals.

Case report

A 54-year-old male with a history of Netherton Syndrome (NS), multiple squamous cell carcinomas, and systemic lupus erythematosus (on hydroxychloroquine) presented to an outside hospital with an enlarging, ulcerated, necrotic left inguinal mass. Prior to admission, he had been treated for a presumed soft tissue infection with cephalexin followed by trimethoprim-sulfamethoxazole.

Upon admission, the patient was started on IV vancomycin and IV piperacillin/tazobactam. Surgical consultation led to wide local resection, superficial and deep lymph node dissection, and left femoral vein resection. Biopsy revealed moderately differentiated invasive SCC with involvement of 2/5 regional lymph nodes and femoral vein invasion. A CT scan of the chest, abdomen, and pelvis showed no distant metastases. Intraoperative wound cultures grew Escherichia coli, Pseudomonas aeruginosa, and Streptococcus viridans. His antibiotic regimen was adjusted to IV aztreonam and IV cefepime for a 14-day course.

The patient was transferred to a tertiary care center for further oncology and plastic surgery evaluation. Shortly after arrival, he developed a post-surgical wound infection, progressing to septic shock with MRSA bacteremia. He required vasopressor support and was treated with IV daptomycin. His hospital course was further complicated by Clostridium difficile colitis with toxic megacolon, necessitating a total colectomy and end ileostomy.

Plastic surgery performed additional wound excision with autografting to the left groin, but graft adherence was poor due to an enlarging left inguinal mass. A core biopsy confirmed recurrent SCC. Surgical resection was deemed unfeasible, and systemic chemotherapy was not an option due to his critical condition. Radiation therapy was also contraindicated due to the extent of his wound.

Following multidisciplinary discussions, the patient opted for inpatient hospice care. He ultimately succumbed to complications of his malignancy.

Discussion

Netherton Syndrome (NS) is a rare genetic disorder with widespread effects on the skin, immune system, and other organ systems. One of its lesser-known but potentially serious complications is the development of squamous cell carcinoma, which has only been reported in a handful of NS cases. While it remains uncertain whether SCC in NS patients occurs by chance or is linked to the disease itself, evidence suggests that various inherited ichthyoses, such as KID syndrome and lamellar ichthyosis, predispose individuals to skin cancer. Several mechanisms may explain this association: Dysfunction of the SPINK5 gene leads to abnormal epidermal growth and immune dysregulation. Chronic inflammation and recurrent infections, including HPV, may contribute to malignant transformation. Exposure to UV therapy and immunosuppressants (e.g. for autoimmune diseases like lupus) may further increase SCC risk. Because of these risks, regular skin examinations and early detection strategies are essential for NS patients. Ongoing research into genotypephenotype correlations and immunotherapy holds promise for better management and targeted treatment options in the future.

Figure 1: (40× magnification): Invasive carcinoma in the dermis and subcutaneous tissue with desmoplastic stroma and pseudoepitheliomatous hyperplasia.

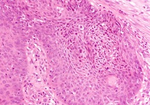
Figure 2: (100× magnification): Squamous keratinocyte islands extending towards but distinct from the overlying epidermis.

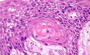
Figure 3: (200× magnification): Concentric whorled arrangements of malignant squamous keratinocytes forming squamous eddies.

Figure 4: (400× magnification): High-power view of squamous eddies showing dyskeratotic cells, prominent intercellular bridges, and central keratinization forming a horn pearl.